ทันตกรรมทั่วไป

Service / General Dentistry

ทันตกรรมทั่วไป

Forest Dental เปิดให้บริการ ทันตกรรมทั่วไป ทุกประเภท สามารถโทรสอบถามรายละเอียด หรือนัดหมายมาเพื่อสอบถามและนัดวันเวลาที่แพทย์เข้าประจำการได้ทุกวันเวลาทำการ

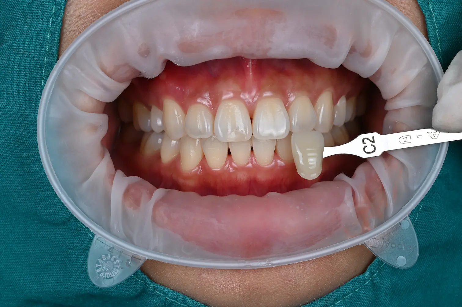
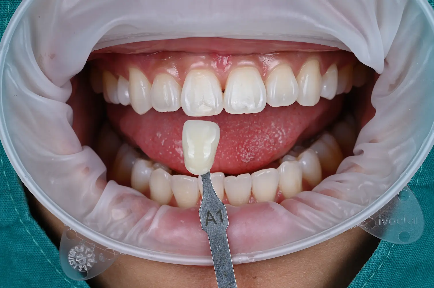
Example

teeth Whitening before1teeth Whitening after1
teeth whitening b1teeth whitening a1

Our Specialist